Thorough and friendly, Dr. Keyur Patoliya, Dr. Dhaval Shah and Dr. Haritha Ghanta are dedicated to providing our patients with the comprehensive dental care they deserve at our dental office in Eagleville, Pennsylvania. Our family dentists and team are happy to invest in you as we help you have a healthy, happy smile.
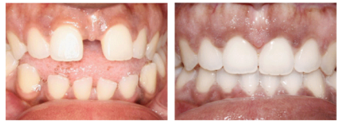
Dental Implants
Missing your teeth? Not anymore with our dental implant options!
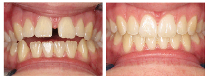
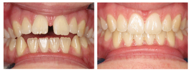
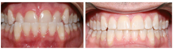
Invisalign®
Create a more uniform smile with our easy clear aligner treatment!
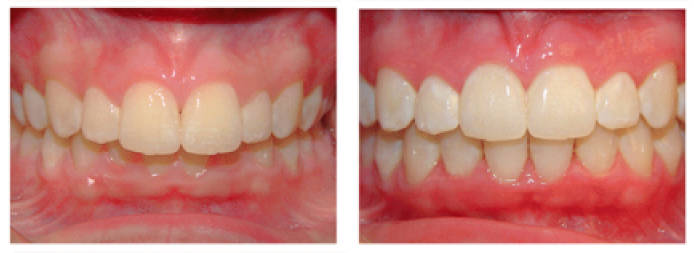
Full-Mouth Rehabilitation
Do you need more extensive care for your smile? We can help with our restorative treatments.
Smile Stories
Ramya A.
American dental excellence has done a great job. We are nee to the area and the hygienist and the doctor all were so nice and caring. Wait time was almost none. Cleaning was fabulous. All the staff were so friendly.
Athena J.
My experiences at the office are always very good. My dentist has worked with me to make out of pocket expenses more affordable and the office staff, especially Tabitha, are always so friendly and helpful. They make a scary and painful experience (full implant procedure) more comfortable.
Robin K.
First visit as a new patient and was welcomed with a smile. Everyone including the front office staff, dental hygienist, and dentist were very nice, extremely helpful, and pleasant. Great experience!
Stephanie A.
Everyone was very kind and social able. They were very informative and answered all my questions leaving me feeling very comfortable. The dentist isn't my favorite place but had a great visit!





