Book Your Free Consultation Today!
Request an AppointmentIs Invisalign® right for you?
When you think of orthodontic care, braces are what usually come to mind. However, for patients who do not require extensive tooth adjustments to straighten their smile, Invisalign® clear aligners are the convenient, subtle and simple solution.
About the Process
-
Schedule your free consultation.
That is right. Our Invisalign clear aligner consultations are completely free at Eagleville Family Dentistry. These consultations are designed to allow you have a one-on-one discussion with our dentists, who can help determine if you are a candidate of this treatment.
-
Learn about the treatment plan.
Every clear aligner is completely customized to your mouth. This means that each stage of treatment will be different, but Dr. Keyur Patoliya and Dr. Dhaval Shah use 3D imaging technology to help you know what to expect.
-
Achieve your dream smile!
Your new aligners should be worn diligently throughout your treatment period. Remember, consistency is key!
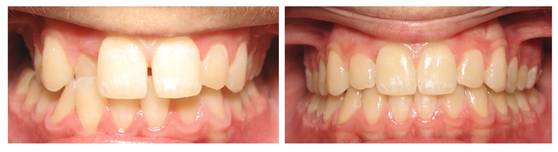
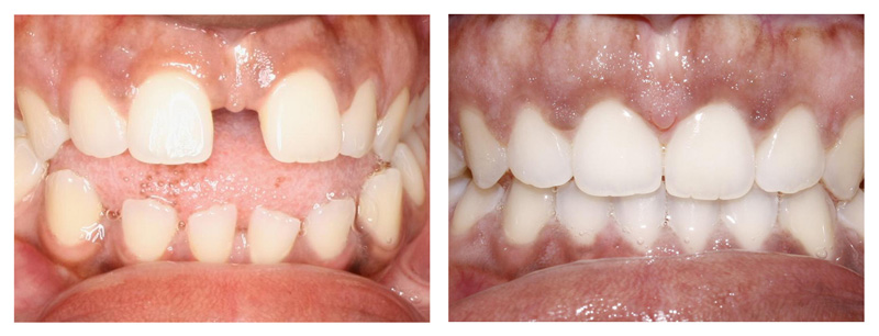
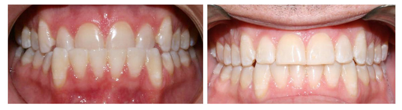
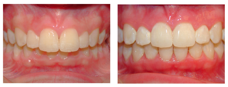
Before & After Treatment
We believe that our success stories speak for themselves. See our results below and call our office at 484-222-9922 if you have any questions about Invisalign clear aligners in Eagleville, Pennsylvania!